こんなお悩みありませんか

- 笑うとき、つい手で口元を隠してしまう
- どんなメイクをしても顔全体が
くすんで見える - 写真撮影で思い切り笑えない
- 日常でついてしまう歯の着色汚れ
(ステイン)が気になる。 - マスクを外すのに抵抗がある
- ホワイトニングしたいけど、
時間や費用が心配
そんなお悩みを解決へ導くのが、
当サロンのセルフホワイトニングです。


Shine Your Smile
Shine Your Smile
高品質ジェルで、
本格的な白さと笑顔の自信を。


青森市・夜店通り沿いの2階にある、完全予約制のセルフホワイトニングサロン。
専用の器具と薬剤を使い、お客様ご自身で気軽に施術していただけます。
半個室のリクライニングチェアで、リラックスしながら短時間でも本格的な白さを実感。
ブライダルやビジネスシーンはもちろん、日常でも「笑顔に自信を持ちたい」方におすすめ。
ホワイトニングの主なメリット
- 清潔感がアップする
- 笑顔が魅力的になる
- 若々しい印象になる
- メイク映えする
- 自分に自信が持てる
- 歯の健康意識が高まる
- 第一印象の改善
- 清潔感がアップする
- 笑顔が魅力的になる
- 若々しい印象になる
- メイク映えする
- 自分に自信が持てる
- 歯の健康意識が高まる
- 第一印象の改善

あなたも、理想の笑顔を手に入れませんか?



Service
当店の3つのポイント
独自開発の高品質ジェルを使用
QUALITY ASSURED

歯科医師と提携して開発したオリジナルジェルを採用。
主成分は重曹と二酸化チタンで、食品や化粧品にも使われ
る安全性の高い成分です。




痛みが少なく、短時間&低価格SMART CHOICE

歯科医院で行うオフィスホワイトニングに比べて痛みが少なく、食事制限も不要。
照射は40分と短時間、料金も初回2,000〜5,000円(都度払い除く)と気軽に始めやすい設定です。
ホワイトニングがもたらす効果WHITER SMILE

ホワイトニングは、笑顔に自信を与え、顔全体を明るく見せる効果があります。
清潔感を感じさせるだけでなく、歯の表面をコーティングしてステインを防ぎ、虫歯や口臭予防にもつながります。


その他メニュー
※1回あたりの金額として

通常単発【40分照射】
¥6,980
通常単発ロング【60分照射】
¥14,980
通常単発(40分照射) → ¥5,000 通常単発ロング(60分照射)→ ¥10,000
店内10日以内の
次回予約割引
◇次回来店を
10日以内にご予約
で特別価格に!
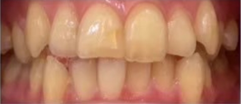
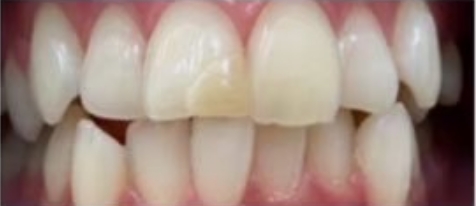
Before And After
ホワイトニング体験後の効果
Before



After

Before



After

Before



After

Before



After


ホワイトニングガイド
Your 4 Prep Steps
施術前の4つの事前準備
〇ホワイトニングを快適に行うためには、事前のちょっとした準備が大切です〇
ホワイトニングを快適に行うためには、事前のちょっとした準備が大切です

Step 01
唇と歯茎の保護
まず唇にワセリンを塗り、乾燥を防ぎます。
さらに歯茎にもワセリンを塗布し、薬剤による刺激をやわらげます。

Step 02
マウスオープナーの装着
専用の器具を使って唇や頬が歯にかぶさらないようにし、しっかりと歯を露出させます。

Step 03
歯の表面の水分拭き取り
歯の表面や歯ぐきまわりの水分を拭き取り、ワセリンやジェルがしっかり密着するように準備します。

Step 04
専用ジェルの塗布
最後に歯全体にホワイトニング専用ジェルを塗布し、照射の準備が整います。
Oral Science
ホワイトニングの流れ

Preparation

マウスオープナーで
口元を固定

TREATMENT

歯に専用ジェルを
塗り照射

COMPLETION

照射終了後、
歯磨きして終了
Choose Type
ホワイトニングの選び方

美容ジェルセルフ
ホワイトニング

- 白くなった歯の
メンテナンスをしたい方 - セラミック・被せ物への着色汚れを落としたい方
- 妊娠・授乳中でも受けたい方
- 歯の表面の着色汚れを
落としたい方
(歯本来の白さを求めている方)

医療ジェルセルフ
ホワイトニング

- すぐに効果を実感したい方
- 歯本来の白さ以上に白くしたい方
- 何度も通うのが難しい方
- 過去に効果を感じられなかった方
Safe Light
使用するLEDの安全性

この波長の光はニキビの治療に
使用されており、
刺激が少ないので敏感肌の方でも
ご使用して頂けます。
紫外線も一切含んでおりませんので
日焼けの心配もございません。
ご利用可能なお支払い方法
※店頭決済のみ対応。
スマート支払いは
ご利用いただけない場合がございます。



Voice
お客様の声
Q & A
よくある質問
-
そもそもなにがセルフ?
-
お客様自身でして頂く(セルフ)は、
オープナーの装着、ワセリンとジェルの塗布です。
お使いになるものは事前にスタッフが用意しております。
ご来店頂いたらお席にスタッフが案内させて頂きます。
-
スタッフはいるのか
-
営業時間内は常時スタッフが在中しております。
ご予約の変更や受付は、すべて店舗内で対応しております。
-
カウンセリングは?
-
ご新規のお客様にカウンセリングの実施をしております。
約20分程です。
アンケート用紙にご記入頂いた内容を基にヒアリングをさせて頂き、
ご提案させて頂きます。
-
食事制限はあるのか
-
食事制限はございません。
終わった直後からお好きなものを食べて頂けます。
初回の当日に限りできるだけ、
カレーやスパゲティなどの着色が付きやすいものはお控えください。
-
喫煙者も通えるか
-
通って頂けます。
お客様の8割はおタバコを吸われてる方々です。
お気軽にお問合せください
-
どのくらい時間がかかるか
-
初回の方はカウンセリング含めて、
約90分ほど頂いております。
2回目以降は約50分です。

Message
ご挨拶

代表取締役社長
石川渚
「笑顔に自信を持ちたい」
あなたのためのホワイトニングを
沖縄へ。
幼少期から歯のコンプレックスに悩み、
笑顔に自信が持てなかった私自身の経験から、
「もっと手軽に、誰もが笑顔になれる場所」を沖縄に作りたいと強く思いました。
高い、痛いといった従来のイメージを覆すセルフホワイトニングを、
提携の歯科医師の先生の指導のもと、
安心・安全にご提供します。
私たちは、あなたの自信に満ちた最高の笑顔を全力でサポートします。

| 店舗名 | ホワイトニングショップあおもり新町店 |
| Tel | 050-5448-5100 |
| 住所 | 〒030-0801 青森県青森市新町1丁目12−3 渡辺ビル 2F |
| 営業時間 | 10:00~19:00 当日予約は17:00まで |
| 定休日 | 不定休 |






